
تعرف على أنواع عمليات تجميل اللثة وأهم مزاياها وعيوبها، وتعرف أيضا على اسعار عمليات تجميل اللثة، اقرأ لدي علاجك الطبية

يمكن تجميل الأسنان الكبيرة لتبدو أصغر حجمًا وتوسيع الابتسامة، إذا لزم الأمر، باستخدام العديد من الوسائل. تعرف على طرق تجميل الأسنان الكبيرة من خلال التالي مع علاجك الطبية.

يحدث ضعف اللثة عندما تبتعد أنسجة اللثة عن الأسنان، مما يؤدي إلى كشف الجذور تحتها. تعرف معنا على طرق علاج ضعف اللثة من خلال المقال التالي. كل ذلك وأكثر مع علاجك الطبية.

يعتبر تفرق الأسنان حالة شائعة إلى حد ما. تعرف على طرق تجميل الأسنان المتفرقة مع علاجك الطبية وعلى كيف يمكن لهذه الحالة التأثير على العامل الجمالي عند الابتسام والتحدث والتواصل.

تعرف بالتفصيل على ظاهرة الأسنان الزائدة أو فرط الأسنان: أنواعها، أسبابها ثم طرق التشخيص والعلاج. كل ذلك وأكثر مع فريق علاجك الطبية المتخصص من خلال المقال الآتي.

علاج الأسنان في تركيا يستند إلى أحدث التقنيات في طب وجراحة الأسنان، مثل القشور الخزفية بأنواعها، وذلك في حال حدوث ضرر لطبقة المينا، وهي الطبقة الخارجية للسن

نقدم لكم في علاجك الطبية خدمة زراعة الأسنان في تركيا، تتم عملية زراعة الأسنان عبر عملية جراحية بسيطة داخل عظام اللّثّة، حيث تشكّل جذراً قويّاً للسنّ المزروع لاسترجاع المظهر الجمالي، ووظائف الاسنان الطبيعية

ما هي أسباب تسوس الأسنان عند الأطفال بعمر سنتين وكيف يمكن علاجها والوقاية منها، اقرأ المزيد مع علاجك.

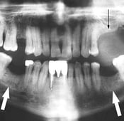
يعتبر تآكل عظام الفك حالة نادرة وخطيرة، حيث تبدأ فيه خلايا الفك السفلي أو العلوي في الموت، ويترتب على ذلك مضاعفات خطيرة. تعرف على أسباب هذا المرض وكيف يمكن علاجه والوقاية منه. كل ذلك وأكثر مع علاجك الطبية.

ما هي أهم بدائل زراعة الأسنان وأهم مميزات وعيوب بدائل زراعة الأسنان؟ اقرأ لدى علاجك الطبية.
خدمات العلاج
في افضل المراكز الطبية
اتصل بنا
يرجى ملىء النموذج أدناه مع وصف حالتك الصحية
إن بياناتكم الشخصية تخضع لعملية معالجة كما هون مبين في نص البيان العام وإن قيامكم بالمتابعة يعني موافقتكم بالرضا الصريح على عملية المعالجة
