nav
whatsapp icon

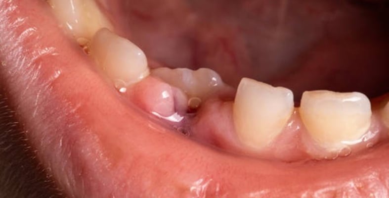
التهابات ما بعد قلع الأسنان: الأسباب والأعراض والعلاج

blog single image
التمثيل الغذائي الأساسي
التمثيل الغذائي الأساسي
هو عدد السعرات الحرارية التي يحرقها الجسم بينما يؤدي وظائفه الأساسية للحفاظ على الحياة. 
هل وزنك صحي؟ حاسبة كتلة الجسم (BMI)
هل وزنك صحي؟ حاسبة كتلة الجسم (BMI)
حاسبة مؤشر كتلة الجسم والدهون (BMI) تساعدك على تحديد إذا ما كان وزنك صحياً بناءً على طولك ووزنك. أو ان كنت تعاني من السمنة، جربها الآن..
حاسبة المياه
حاسبة المياه
تساعدك هذه الحاسبة على حساب مقدار المياه اللازم تناوله للمحافظة على وظائف الجسم وتجنب الجفاف
حساب السعرات الحرارية
حساب السعرات الحرارية
تساعدك حاسبة السعرات الحرارية على فهم لعدد السعرات الحرارية التي يحتاجها جسمك للحفاظ على وزنه الحالي، كما تساعدك على تتبع السعرات الحرارية التى تتناولها.